Aktuelles
Einige unserer Bewohner brauchen ab und zu Profihände für ihr anspruchsvolles Fell.
Außerdem hatten wir Tiere aus einem polnischen Tierheim aufgenommen, damit sie dort Plätze für ukrainische Tiere frei haben. Einige dieser Hunde waren arg verfilzt.
Wir telefonierten umher - doch kein Hundefriseur hatte Zeit.
Schließlich trafen wir auf Herrn Thonke von den "Fellfritzen" in Potsdam. Seine Frau und er spendierten uns ihren freien Sonntag. Sie bürsteten, schnitten und frisierten im Akkord.
Britcars in Teltow lädt seine Kunden mitunter zu interessanten Sonderveranstaltungen ein. Diesmal war André Vogt der Gastreferent - bekannt aus dem Fernsehen als "Der Welpentrainer".
Unser Waldtierheim wird mit Sicherheit nie einen Land Rover kaufen. Aber weil in der Firma tierliebe Menschen sitzen, erhielten wir auch eine Einladung.
Lea-Sophie und Sven verbrachten den Zukunftstag bei uns. Schüler*innen in ganz Brandenburg gehen an diesem Tag in die Betriebe, um einen Eindruck vom Arbeitsleben zu bekommen.
Die beiden packten richtig zu: Das Kaninchengehege wurde komplett ausgeräumt. Die alte Einstreu musste herausgekratzt und zum Kompost gebracht werden. Das sind mehrere Stunden harte Arbeit.
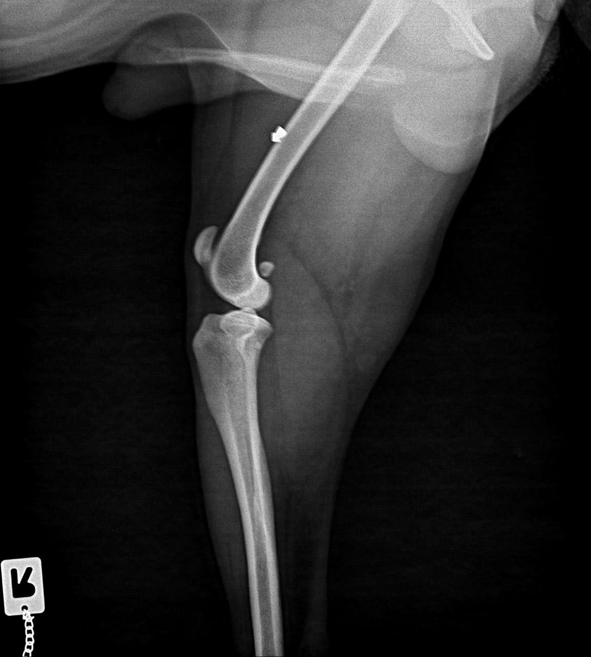
Blossek humpelte, weswegen wir ihn untersuchen ließen. Dabei wurden zwei Geschosse entdeckt.
Wir meldeten ihn bei einem Chirurgen in Berlin an, um die Geschosse entfernen zu lassen. Der Tierarzt fertigte mehrere Röntgenaufnahmen an und entdeckte: 10 Geschosse! In Worten: ZEHN. Und eines davon sogar im Kopf.😭 Wir waren fassungslos.
Zu unserem Erstaunen operierte der Chirurg jedoch nicht. Er untersuchte jedes einzelne Geschoss gründlich und stellte fest, dass Blossek an keiner Stelle Probleme damit hat. Eine Operation hätte also nur kosmetische Gründe. Ein Eingriff wäre eine viel größere Gefahr, erklärte uns der Chirurg.
Es ist einfach toll, wenn ein Tierarzt nur im Interesse des Tieres denkt. Mit Leichtigkeit hätte man uns in dem Fall teure OPs aufschwatzen können.
Seit dem dritten Tag des Krieges gegen die Ukraine engagieren wir uns bei verschiedenen Hilfsaktionen.
Kürzlich erfuhren wir, dass für Flüchtlinge, die mit ihren Haustieren in Berlin ankommen, immer noch Leinen, Halsbänder, Näpfe und Transportboxen gesucht werden.
Vor allem Transporttaschen, die man über den Arm nehmen kann, sind gefragt. Wir haben etliche davon, benutzen sie aber nur selten, weil wir eher stabile und leicht zu reinigende Kunststoffboxen verwenden.
An der hässlichen Fassade des Katzenhauses haben wir Kletterrosen gepflanzt.
Sie sollen nicht nur die Wand verschönern, sondern vor allem auch der Ernährung von Insekten dienen.
Da der Boden dort nur Staub war, haben wir ihn schon im Herbst ausgetauscht und jetzt noch mit weiterem Kompost aufgefüllt. Ein paar fette Regenwürmer sind dabei mitumgezogen und werden uns helfen, den Boden zu verbessern, damit die Rosen reich blühen.
Wir erhielten eine große Ladung Trockenfutter für Hunde.
Es sind so viele Paletten, dass wir auch anderen etwas abgeben können.
Ein Teil geht an einen Gnadenhof, auf dem durch Brandstiftung vor ein paar Wochen nicht nur eine große Halle komplett abbrannte, sondern auch die darin untergebrachten Pferde getötet wurden.
Ein weiterer Teil geht an ein polnisches Tierheim, das Tiere aus der Ukraine versorgt.
Und dann müssen wir mal sehen, wo wir noch helfen können.
Wir müssen dringend Landschaftsarbeiten bei uns durchführen.
Wer hat Lust zu helfen? Bäume sägen, Äste wegtragen, schreddern, harken, Boden umfräsen, Lupinen säen, Blumen pflanzen ...
Auch für völlig Ungeübte und Kinder gibt es genug zu tun, um ein paar Stunden an frischer Waldluft zu verbringen und sich daran zu erfreuen, was geschafft wurde.



